The Hidden Scars: Understanding Brain Trauma and Road Rash from Motorcycle Accidents

HomeBlogThe Hidden Scars: Understanding Brain Trauma and Road Rash from Motorcycle Accidents
The Hidden Scars: Understanding Brain Trauma and Road Rash from Motorcycle Accidents
  |   Dec 24, 2025  |  Blog

Motorcycle accident brain injury: Hidden Scars 2025

Why Brain Injuries from Motorcycle Crashes Are More Than Just a Bump on the Head

A motorcycle accident brain injury is a devastating event that can leave victims with lifelong challenges. Unlike in a car, a rider has little protection beyond their helmet and gear, making head trauma a significant risk.

What You Need to Know Right Now

If you or a loved one has been in a motorcycle crash, remember these key points:

  • Brain injuries can occur even with a helmet. Helmets significantly reduce the risk of head injury but cannot prevent all injuries.
  • Symptoms can be delayed. Confusion, headaches, or memory issues may appear hours or days later.
  • Immediate medical attention is critical. Internal damage can worsen without prompt treatment, even if you feel fine.
  • You have legal rights. In most situations, Tennessee law gives you one year from the date of the crash to file a personal injury claim.

Studies show motorcyclists are far more likely to be killed in a crash than people in cars, and head trauma is a leading factor in many of these fatalities. Even survivors often face a long road to recovery, and some people with moderate to severe brain injuries need daily assistance for years.

Here in Nashville, Franklin, and across Middle Tennessee, we see these tragic cases far too often. A beautiful day on the open road can turn into a life-altering event in an instant. This guide explains what happens to the brain in a crash, the warning signs of injury, the recovery process, and your rights under Tennessee law.

At Bill Easterly & Associates, we have spent decades helping Tennessee families steer the aftermath of serious accidents. We understand the pain, medical bills, and uncertainty you may be facing. We offer free consultations and handle these cases on a contingency fee basis, so you are not responsible for attorney fees unless we recover compensation for you.

Infographic showing motorcycle accident brain injury key facts: 69% reduction in head injury with helmets, 26x higher death risk vs cars, 80% of motorcycle fatalities involve head trauma, 34% of TBIs are severe, 30% of victims need daily help after 2 years, and immediate medical evaluation is critical even without visible symptoms - Motorcycle accident brain injury infographic brainstorm-6-items

The information ahead could help you recognize a life-threatening injury in time. Let’s start by understanding what happens to your brain in a motorcycle crash.

The Dual Threat: Understanding How Motorcycle Accidents Cause Injury

On a Tennessee road, a motorcyclist lacks the protection of a steel cage, crumple zones, or airbags. This vulnerability creates two major threats in a crash: trauma inside the skull and severe skin injuries. Understanding how these occur is the first step toward knowing what to do if the worst happens.

The Physics of a Motorcycle Accident Brain Injury

Your brain is a delicate organ cushioned by fluid inside the skull. The violent forces of a motorcycle crash can easily overwhelm these natural protections.

  • Direct Impact: When a rider’s head strikes the pavement or another object, the blow can fracture the skull and bruise or cause bleeding in the brain.
  • Coup-Contrecoup Injury: You don’t need a direct hit to suffer a serious motorcycle accident brain injury. The sudden stop of a crash can cause the brain to slam into the front of the skull (coup) and then rebound into the back (contrecoup), damaging two areas at once.
Illustration of coup-contrecoup brain injury - Motorcycle accident brain injury
  • Diffuse Axonal Injury (DAI): Perhaps the most dangerous mechanism is caused by rotational forces. As the head twists rapidly, the brain’s long nerve fibers (axons) can stretch and tear, disrupting communication between different brain regions. DAI can cause widespread, severe dysfunction even without visible bruising.
  • Secondary Injuries: The danger continues after the crash. The brain may swell (edema) or form a blood clot (hematoma), increasing pressure inside the rigid skull. These secondary brain injuries can cut off oxygen and cause more damage than the initial impact. This is why immediate medical evaluation is crucial and why these are often classified as Catastrophic Injuries.

Beyond the Brain: The Pain of Severe Road Rash

While brain injuries are a primary concern, road rash is another severe form of trauma. This occurs when skin grinds against asphalt or gravel at high speed.

  • First-degree road rash is superficial, like a bad scrape.
  • Second-degree breaks the skin, exposing painful nerve endings.
  • Third-degree is the most severe, destroying all layers of skin and sometimes exposing muscle or bone. These wounds often require skin grafts, can lead to life-threatening infections, and may cause permanent scarring and chronic pain.

Protective gear like leather or armored suits is essential. While it can’t prevent every motorcycle accident brain injury, it can be the difference between minor bruises and months of painful treatment for road rash and broken bones. Understanding these risks is key to riding safely in Middle Tennessee.

Recognizing the Warning Signs: TBI Symptoms After a Crash

One of the most dangerous aspects of a motorcycle accident brain injury is that symptoms don’t always appear immediately. Some signs are urgent, while others may not surface for days or weeks. It is critical for accident victims and their families in Nashville, Franklin, and Middle Tennessee to know what to look for.

Immediate Symptoms to Watch For

After any head trauma from a motorcycle crash, seek immediate medical help, even if you feel “fine.” A TBI can result from any jolt to the head or body. Go to the emergency room if you experience any of the following:

  • Loss of consciousness, even for a moment
  • Severe or worsening headache
  • Dizziness or loss of balance
  • Nausea or vomiting
  • Confusion or disorientation
  • Blurred vision or sensitivity to light
  • Ringing in the ears (tinnitus)
  • Slurred speech
  • Weakness or numbness in the body
  • Seizures or convulsions

Delayed Symptoms That Can Emerge Days or Weeks Later

Just because you feel okay after a crash doesn’t mean you are in the clear. Delayed onset symptoms of a motorcycle accident brain injury can appear hours, days, or even weeks later, catching families by surprise. Watch for these signs:

  • Memory or concentration problems and a feeling of being “foggy”
  • Mood swings, depression, or anxiety
  • Sleep disturbances, like insomnia or sleeping more than usual
  • Increased sensitivity to light or sound
  • Persistent fatigue or lethargy
  • Personality changes, such as increased irritability or apathy

If you or a loved one experiences any of these delayed symptoms after a motorcycle accident, seek medical attention promptly. Prioritizing your health and documenting everything is crucial, similar to the steps outlined in What to Do After a Car Accident in Nashville. Your well-being is too important to risk.

Types and Long-Term Consequences of Brain Injuries

A motorcycle accident brain injury is a broad term covering a spectrum of trauma. Understanding the specific type of injury is crucial for both medical treatment and any potential legal claim.

Common Types of Motorcycle Accident Brain Injury

Brain injuries are generally classified as closed-head (skull intact) or open-head (skull pierced). Common types we see in Middle Tennessee include:

  • Concussion: Often called a “mild” TBI, a concussion is a jolt to the brain that can cause lasting symptoms if not managed properly.
  • Cerebral Contusion: This is a bruise on the brain tissue caused by a direct impact, leading to swelling and bleeding.
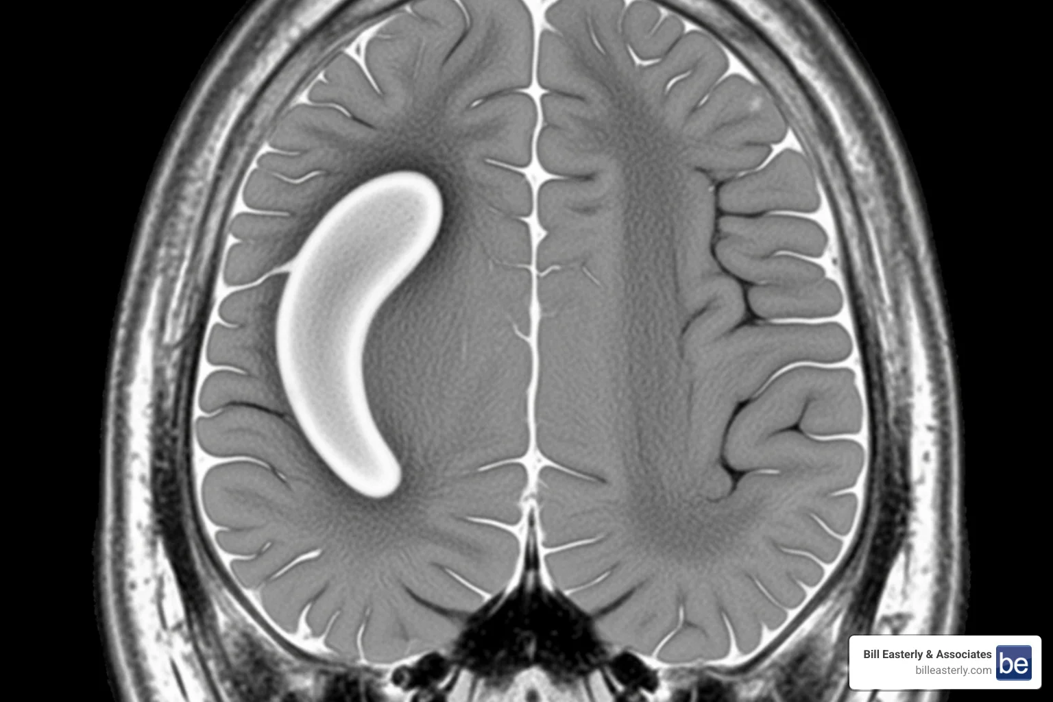
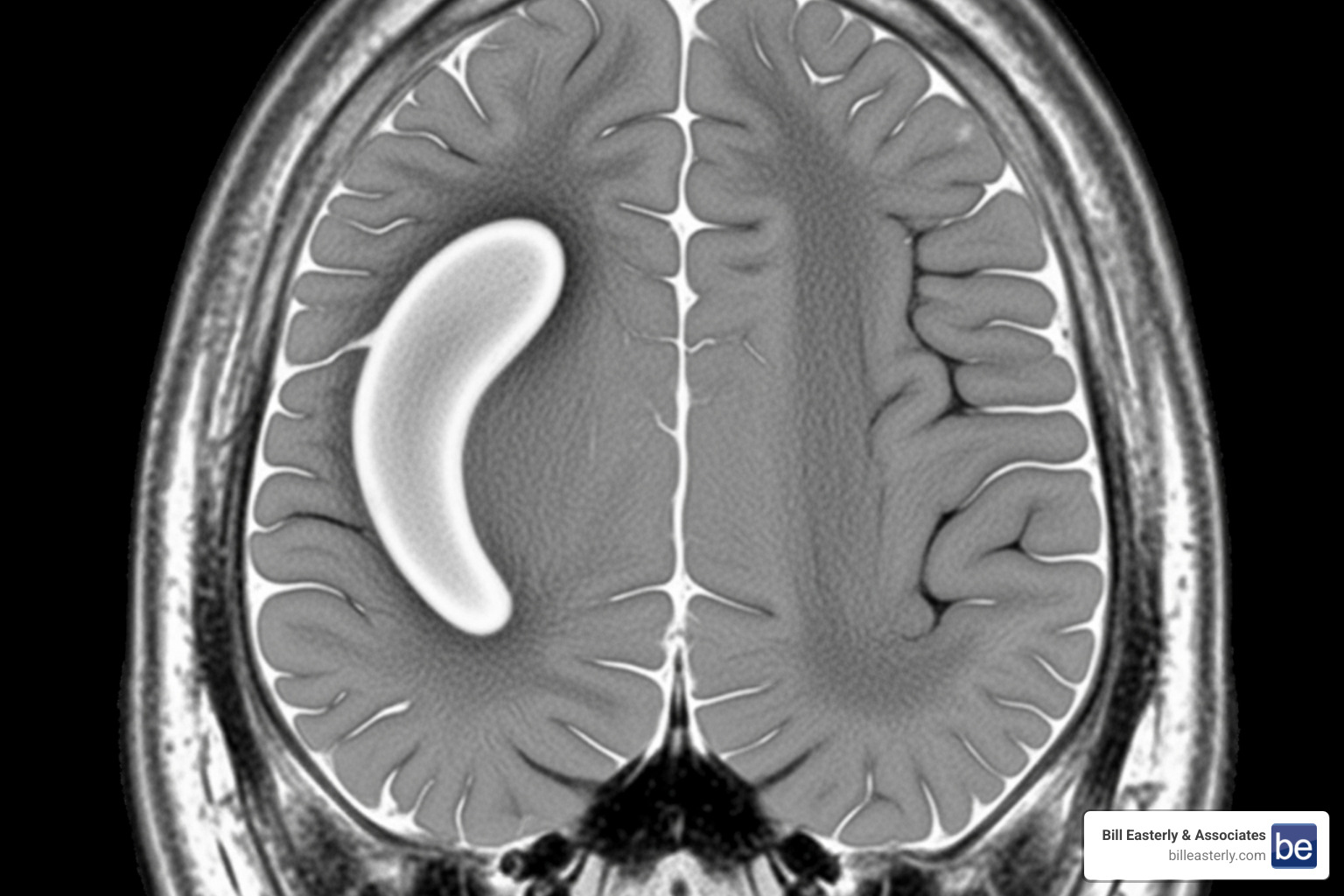
  • Hematoma: A collection of blood or clot that puts pressure on the brain. An epidural hematoma forms between the skull and the brain’s outer layer, while a subdural hematoma forms underneath that layer. Both are extremely dangerous.
Brain scan showing a subdural hematoma - Motorcycle accident brain injury
  • Diffuse Axonal Injury (DAI): One of the most severe injuries, DAI occurs when rotational forces tear the brain’s nerve fibers, leading to widespread damage and long-term impairment.
  • Penetrating Brain Injury: An object pierces the skull and enters the brain, carrying a high risk of infection and severe, localized damage.
  • Skull Fractures: A break in the skull bone indicates a significant impact and can lead to bleeding or other brain injuries.

For families in Nashville seeking more information, our resources on Traumatic Brain Injury Nashville can be a valuable starting point.

The Lifelong Impact: Potential Long-Term Complications

Recovery from a motorcycle accident brain injury is often a lifelong journey, as damaged brain cells do not regenerate. Victims may face permanent challenges, including:

  • Cognitive Deficits: Problems with attention, concentration, problem-solving, and feeling mentally “foggy.”
  • Memory Loss: Difficulty recalling past events or forming new memories, which can severely impact independence. Dealing with memory loss is a common struggle after brain injury.
  • Physical Impairments: Weakness, paralysis, poor balance, chronic pain, or seizures.
  • Motor Skill Issues: Trouble with fine or gross motor skills needed for daily tasks.
  • Emotional and Behavioral Changes: These can be especially difficult for families and include depression, anxiety, mood swings, and personality shifts. Research shows that many people develop significant mood changes, including depression and anxiety, after a moderate to severe TBI.

Statistics highlight the profound impact of these injuries, and many people with moderate or severe brain injuries still need help with daily activities even years later. These figures highlight the need for comprehensive support and fair compensation for victims in Franklin, Murfreesboro, and across Tennessee.

The Critical Role of Helmets and Rider Safety in Tennessee

While riding in Tennessee offers incredible freedom, it’s crucial to acknowledge that motorcyclists are uniquely vulnerable. Your most vital piece of protective gear is your helmet. Understanding its role and Tennessee’s laws is essential for every rider.

How Helmets Reduce the Severity of a Motorcycle Accident Brain Injury

No helmet offers 100% protection, but its ability to mitigate a motorcycle accident brain injury is remarkable. A helmet is engineered to manage impact forces by:

  • Absorbing and Distributing Force: The hard outer shell spreads the force of an impact, while the inner foam liner crushes to absorb the energy before it reaches your brain. This reduces the risk of skull fractures and brain contusions.
  • Preventing Penetration: The shell acts as a barrier against sharp objects or debris that could otherwise pierce the skull.

Studies confirm their importance. Helmets substantially reduce the risk of head injury and can lower the risk of fatal outcomes. While they are less effective against rotational forces, the consensus is clear: wearing a helmet significantly improves your chances of surviving a crash with a less severe injury. For more details, you can review a study on helmet effectiveness.

Tennessee Accident Statistics and the Law

Motorcyclists in Tennessee face a much higher risk of being killed in a crash per mile traveled than people in cars, according to national safety data. Head trauma is the leading cause of death in these crashes.

Because of this, Tennessee has a universal helmet law. All motorcycle operators and passengers are legally required to wear a helmet. This law is a critical tool for reducing the frequency and severity of motorcycle accident brain injury across Nashville, Franklin, and Murfreesboro.

States with universal helmet laws see much higher compliance and significantly lower rates of traumatic brain injury. Riders who do not wear helmets face a substantially higher risk of sustaining a traumatic brain injury. Wearing a compliant helmet, as required by Tennessee Helmet Laws on Motorcycle Injuries, is the single most effective step you can take to protect yourself.

Navigating the Path to Recovery: Medical and Legal Steps

Surviving a motorcycle accident brain injury in Middle Tennessee is the start of a new journey through medical and financial challenges. We know how overwhelming this can be and have guided hundreds of families through it.

Medical Treatment and Rehabilitation Strategies

Your medical journey begins at the crash scene. ER doctors will assess the injury’s severity using the Glasgow Coma Scale and order imaging tests like CT scans or MRIs to detect bleeding, swelling, or fractures. Acute treatment may involve medication to reduce brain swelling or surgery to relieve pressure.

Rehabilitation is the next, often lengthy, phase. The goal is to regain independence and rebuild skills. This process can take months or years and involves a team of specialists:

  • Physical therapy rebuilds strength, balance, and coordination.
  • Occupational therapy focuses on daily life skills like dressing, cooking, and returning to work.
  • Speech-language pathology addresses issues with communication, swallowing, or comprehension.
  • Neuropsychology helps patients and families cope with cognitive and emotional changes like memory loss, frustration, and depression.
  • Vocational rehabilitation provides guidance for returning to the workforce with new limitations.

Long-term care needs can be substantial, including ongoing therapy, medical equipment, and home modifications. The costs add up quickly, making it vital to understand Who Pays Medical Bills After a Car Crash in Tennessee?.

Seeking Financial Compensation for Your Injuries

The financial burden of a motorcycle accident brain injury can be crushing, with mounting medical bills and lost income. If someone else’s negligence caused your crash in Nashville, Franklin, or Murfreesboro, you may be able to seek compensation so you are not left to shoulder these costs alone.

In Tennessee, you have the right to seek compensation for two types of damages:

  • Economic Damages: These cover calculable financial losses, including all past and future medical bills, lost wages, and diminished earning capacity.
  • Non-Economic Damages: This compensates for the non-financial impact on your quality of life, such as physical pain, emotional distress, and loss of enjoyment of life.

The value of a claim depends on the severity of your injuries, your medical costs, and the overall impact on your life. There is no set formula, and understanding How Much Is a Car Accident Settlement Worth in TN? requires a detailed case review.

Navigating this complex legal process requires experienced Brain Injury Attorneys. At Bill Easterly & Associates, we investigate your accident, gather evidence, and negotiate aggressively with insurance companies. If a fair settlement is not offered, we are prepared to take your case to court and present your claim to a judge or jury. We offer free consultations and work on a contingency basis, meaning you pay nothing unless we win. Let us handle the legal battle while you focus on healing.

Frequently Asked Questions about Motorcycle Brain Injury Claims

After a motorcycle accident brain injury in Tennessee, it’s natural to have questions. Here are answers to common concerns we hear from clients in Nashville, Franklin, and Murfreesboro.

How much compensation can I get for a motorcycle brain injury in Tennessee?

There is no set amount for a motorcycle accident brain injury claim in Tennessee. The value of each case is unique and depends on factors like:

  • The severity of the brain injury
  • The cost of past and future medical treatment
  • Lost income and impact on future earning ability
  • The degree of pain, suffering, and emotional distress
  • Any permanent disability or change in quality of life

An experienced attorney can evaluate these factors to determine a fair value. For a general overview, see our guide on How Much Is a Car Accident Settlement Worth in TN?.

Can I still have a brain injury even if I was wearing a helmet?

Yes. While helmets are vital and reduce the risk of head injury by 69%, they cannot prevent every motorcycle accident brain injury. The violent forces in a crash can still cause the brain to move inside the skull, leading to concussions, Diffuse Axonal Injury (DAI) from rotational forces, or secondary injuries like swelling and bleeding.

Because a serious injury can occur even with a helmet, it is critical to seek immediate medical evaluation after any motorcycle accident, regardless of whether you think you are hurt.

How long do I have to file a motorcycle accident claim in Tennessee?

In Tennessee, the statute of limitations for most personal injury claims, including a motorcycle accident brain injury, is one year from the date of the accident. This is a strict deadline.

If you do not file a lawsuit within this one year window, you may lose your right to seek compensation. It is crucial to contact an attorney as soon as possible to protect your rights. For more details, please read our guide on the Tennessee Statute of Limitations for Personal Injury Claims.

A Compassionate Guide Through Your Recovery in Tennessee

The journey after a motorcycle accident brain injury is challenging. We’ve covered how these injuries happen, their symptoms, and their lifelong consequences. We’ve also stressed the importance of helmets under Tennessee law and the unique risks riders face in Nashville, Franklin, and across Middle Tennessee.

The path to recovery is long, but you are not alone. At Bill Easterly & Associates, we understand the immense burdens a motorcycle accident brain injury places on families. Our firm offers a compassionate, personalized approach, combining big-firm results with the small-firm care of a local team. We are your neighbors, committed to justice for the injured.

If you or a loved one is facing the aftermath of a crash in Middle Tennessee, we are here to help you pursue compensation that reflects the impact this injury has had on your life. We offer free consultations to discuss your situation with no obligation. We believe in honest, personal connections and real results.

Contact us today for a free, compassionate consultation about your Motorcycle Accident case. Let us focus on the legal fight while you focus on your recovery.

Editorial review completed by the Bill Easterly & Associates legal content team on November 29, 2024.

Categories

Contact Us Today

Fields Marked With an "*" Are Required

I agree to receive emails, text messages, and phone calls regarding my legal inquiry, which may be considered advertising material. Emails, text messages, and phone calls may be automatically generated using the information from the above form to better coordinate communication. I understand my consent to this is not necessary to obtain legal services from Bill Easterly & Associates. Message and Data Rates may apply.(Required)